首页

新型“骨胶水”,为骨科治疗带来革新

2025-10-17

9 月 9 日,浙江大学医学院附属邵逸夫医院发布了一项重大科研成果 —— 自主研发的骨胶水 “骨 02” 碎骨黏。这一创新生物材料能在人体血液环境中实现大小骨折碎片的黏合固定,有望改变传统骨科治疗模式,减少或替代金属内固定物的使用。

640.gif

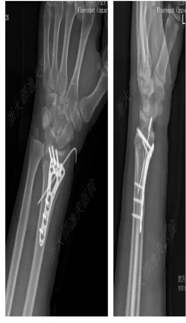
骨折是常见的临床损伤,目前主要采用螺钉、钢板等金属内固定物治疗。然而,对于粉碎性骨折,传统方法面临诸多挑战。浙大邵逸夫医院骨科副主任医师林贤丰指出:“传统金属固定难以实现解剖复位,固定小骨片不仅耗时费力,还容易导致骨碎片丢失或吸收,影响骨愈合。尤其是关节部位的粉碎性骨折,若复位不精准,易引发创伤性关节炎。”

为解决这一难题,林贤丰团队从牡蛎粘附机制中获取灵感,将人体天然的无机和有机成分进行特殊配比,成功研制出 “骨 02” 碎骨黏。这款骨胶水具有多项优势:在血液浸润的湿性环境下,能在 2 至 3 分钟内实现即时、强效黏合;操作简便,大大提升了手术效率;材料可完全生物降解,约 6 个月后随骨愈合自然吸收,避免了二次手术的痛苦。

3.jpg

目前,浙大邵逸夫医院联合浙大二院、上海六院等多家医疗机构,完成了针对粉碎性骨折黏合治疗的多中心随机对照临床研究入组。“骨 02” 在 150 余例受试患者中展现出良好的安全性和有效性,各项指标均达到预设标准。

一位年轻工人因外伤导致腕部桡骨远端粉碎性骨折,按照传统治疗方案,需大切口植入钢板螺钉,创伤大且存在肌腱粘连或神经损伤风险,术后一年还需二次手术取出。而应用 “骨 02” 黏合技术,医生仅通过一个 2 至 3 厘米的微创切口注入骨胶水,短短 3 分钟内就完成了粉碎骨块的精准黏合与固定。术后 3 个月随访显示,患者骨折愈合良好,无并发症,腕关节功能完全恢复。

4d382ffdd29547a3996aebe420ea8fc4.jpg

林贤丰表示:“未来,我们希望骨折患者在门诊打一针,骨头就能黏合好,缩短康复时间。骨胶水应用前景广泛,几乎适用于全身所有部位、各种尺寸的骨折修复,尤其是传统器械难以固定的微小碎骨。此外,其快速黏合和便捷使用的特点,有望在国防军事、灾害救援等特殊场景中发挥重要作用。”

这项创新成果标志着我国在骨折微创治疗领域取得了重大突破,为全球骨科治疗带来了新的希望。

新闻搜集:蔡雯捷

来源:图文综合整理自网易新闻等报道(如有侵权,联系删除)